El glaucoma engloba un grupo de enfermedades que provocan un daño progresivo del nervio óptico.
Una de las principales causas de glaucoma es el aumento de la presión intraocular que comprime el nervio óptico, dañándolo poco a poco y de manera irreversible.
El glaucoma se desarrolla de forma lenta y sin dar ningún síntoma hasta que el daño ya es muy avanzado. Se calcula que más de 800.000 personas padecen glaucoma en España, pero la mitad de ellas lo desconoce.
USTED PODRÍA TENER GLAUCOMA Y NO SABERLO
El glaucoma NO es equivalente a la presión intraocular, por lo que unas cifras normales de presión intraocular NO DESCARTAN la presencia de glaucoma.
El glaucoma solo puede diagnosticarse a través de un examen oftalmológico completo realizado por un médico oftalmólogo.
La medida de la presión intraocular es solo UNA de las pruebas para su diagnóstico. El resto de la exploración se completa con:
○ Anamnesis exhaustiva. Los pacientes miopes, mayores de 40 años y con antecedentes familiares de glaucoma tienen más riesgo de padecerlo.
○ Evaluación de la agudeza visual y la refracción
○ Gonioscopia (exploración del ángulo que constituye el punto de drenaje del humor acuoso)
○ Campo visual
○ Tomografía de coherencia óptica del nervio óptico y células ganglionares
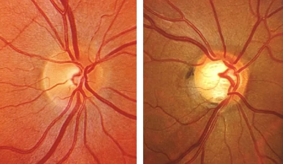
○ Examen del fondo de ojo con la pupila dilatada para evaluar el nervio óptico y la retina periférica.
Únicamente un médico oftalmólogo puede interpretar los resultados de estas pruebas y darle un diagnóstico preciso.
El glaucoma es una enfermedad que requiere un seguimiento periódico permanente. Como en cualquier enfermedad crónica, el médico especialista será el gran aliado del paciente que le acompañará en todos los pasos del tratamiento, proporcionándole la información que necesite y resolviendo todas las dudas que puedan surgir.
Existen diferentes opciones terapéuticas para el glaucoma: colirios, láser o cirugía. El tratamiento se escoge de forma individualizada según las características de cada paciente.
“A partir de los 40 años recomendamos realizar una revisión completa de cribado. El diagnóstico precoz del glaucoma marca la diferencia para conservar una buena función visual durante toda la vida”



LOGROÑO









VITORIA







